Nikt się nie przejmował losem umierającego wilka i tylko jeden człowiek postanowił mu pomóc...

Gdy wilk został potrącony przez samochód, ledwo potrafił doczołgać się do najbliższego rowu. Jego tylna łapa została uszkodzona, więc nie miał wyboru i musiał czekać aż umrze z głodu. Jednak to nie był koniec, w jego stronę szedł pewien mężczyzna.

Wilk musiał być bardzo przestraszony, ponieważ nie mógł sobie wyobrazić, że ktokolwiek chciałby go uratować.

W przeciwieństwie do innych przedstawicieli swojego gatunku, wilki arabskie żyją w małych stadach w Izraelu i Jemenie. Natura nie obdarzyła ich dużym rozmiarem i przypominają raczej nieduże psy. Są one bardzo znienawidzone przez miejscowych rolników, gdyż z powodu braku pożywienia często przychodzą na farmę i jedzą inne zwierzęta!

Nic dziwnego, że gdy na drogę wybiegł wilk, kierowca postanowił nie ratować potrącone zwierzę.

Od zadanego urazu wilk odczuwał niesamowity ból i z wielkim trudem przeczołgał się do rowu. W swoim stanie nie miał wyboru jak tylko czekać na śmierć.

foto: zerkalo.cc

Miał jednak szczęście, ponieważ został zauważony przez innego kierowcę, któremu nie pozostało nic innego, jak zabrać go do weterynarza.

Tam lekarze nadali mu imię Oliel.

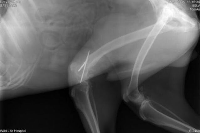
Zdjęcie rentgenowskie wyraźnie pokazało, że zwierzę ma złamaną tylną łapę.

foto: zerkalo.cc

Zaraz potem Oliel trafił na stół operacyjny, gdzie po narkozie założono mu gips. To był dopiero początek jego drogi do odzyskania zdrowia.

Na czas rehabilitacji został pozostawiony w schronisku dla zwierząt.

Dopiero cztery miesiące później, gdy jego łapa w pełni się zagoiła, nadszedł czas, by wypuścić go na wolność.

Klatka z wilkiem została załadowana do samochodu, Oliel był bardzo przestraszony, nie wiedział jeszcze, że wkrótce zostanie ponownie wypuszczony na wolność.

Po dotarciu na miejsce pracownicy schroniska otworzyli klatkę i zaczęli czekać, aż wilk wyjdzie. Na początku nic nie rozumiał. Po tylu miesiącach nadzieja na powrót do wolności całkowicie go opuściła.

Za chwilę jednak pospiesznie opuścił klatkę.

Biegł bez ustanku, znów ciesząc się wolnością i zdrową łapką! Olielu, spędź resztę życia szczęśliwie!

Pracownicy kliniki zasługują na szacunek! Każde zwierzę ma prawo do życia.

Główne zdjęcie: zerkalo.cc